Metamorfozy

Spełnij swoje marzenie o idealnym uśmiechu

Nowoczesna stomatologia daje możliwość przeprowadzenia spektakularnych zmian w estetyce uśmiechu, które nie tylko poprawiają wygląd, ale także wpływają na samopoczucie, pewność siebie i komfort życia.

Dzięki innowacyjnym technologiom i indywidualnemu podejściu, możemy udoskonalić Twój uśmiech, dopasowując go do Twoich oczekiwań.

Nawet drobne modyfikacje, takie jak korekta kształtu czy zmiana koloru zębów, mogą przynieść niesamowite efekty, które odmłodzą wygląd całej twarzy. Pozwól, by Twój uśmiech stał się Twoją wizytówką – umów się na konsultację i przekonaj się, jak łatwo możemy spełnić Twoje marzenie o idealnym uśmiechu.

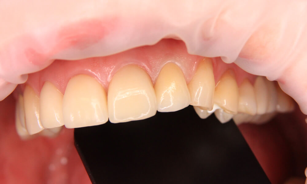
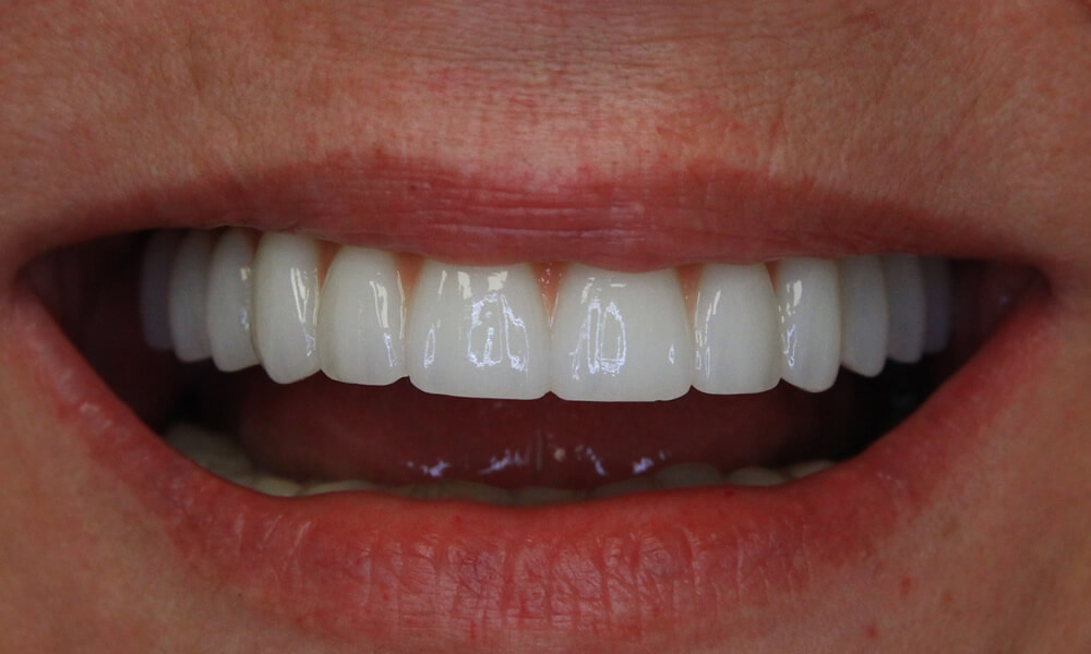
Metamorfoza 1

PRZED PO
Jedna z wielu spektakularnych metamorfoz uśmiechu wykonanych w naszym centrum stomatologicznym. U Pacjenta została wykonana odbudowa ceramiczna zębów.

Metamorfoza 2

PRZED PO
U Pacjenta została wykonana pełna rekonstrukcja łuku górnego za pomocą koron porcelanowych.

Metamorfoza 3

PRZED PO
U Pacjenta została wykonana pełna rekonstrukcja łuku górnego za pomocą koron porcelanowych.

Metamorfoza 4

PRZED PO
U Pacjentki została wykonana pełnołukowa praca na implantach, która na zdjęciach jest widoczna przed i po umieszczeniu w jamie ustnej.

Metamorfoza 5

PRZED PO
Zdjęcia przedstawiają przymiarkę pracy protetycznej oraz sprawdzenie zgodności konturu zębów.

Metamorfoza 6

PRZED PO
U Pacjentki została wykonana metamorfoza zębów z wykorzystaniem korony cyrkonowej.

Kontakt